La plataforma profesional
sobre las enfermedades
periodontales y periimplantarias

Una iniciativa de
Perio·Aid
Inicio > Casos clínicos > Perio·Next > Aplicación clínica de la tecnología digital 3D para el Autotrasplante dental (tercer premio)

Aplicación clínica de la tecnología digital 3D para el Autotrasplante dental (tercer premio)

Aplicación clínica de la tecnología digital 3D para el Autotrasplante dental (tercer premio)

Perio·Next es un concurso para una nueva generación de odontólogos, tanto estudiantes como jóvenes profesionales, en el que pueden demostrar sus conocimientos sobre periodoncia, implantología o cirugía bucal a través de la presentación de un caso clínico.

Estos casos clínicos han sido valorados y seleccionados por un comité de profesionales con una dilatada experiencia en el campo de la odontología y la investigación científica.

Con este concurso, Perio·Expertise apoya de nuevo el desarrollo profesional de jóvenes odontólogos. Además contribuye a la generación de conocimiento entre el mundo científico. Con ese objetivo ponemos a tu disposición los casos clínicos finalistas de la última edición de Perio·Next.

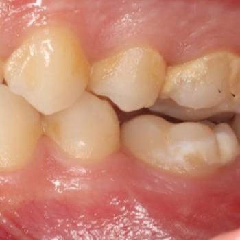
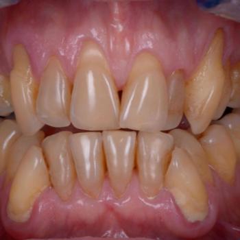
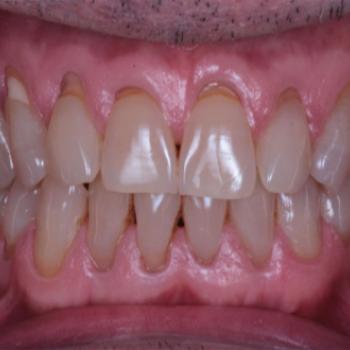
A continuación podrás consultar el ganador del tercer premio de los casos ganadores titulado “Aplicación clínica de la tecnología digital 3D para el Autotrasplante dental”.

Accede al documento (PDF/19,42M)

Más información profesional:
DENTAID Expertise
DENTAID Profesional

Una iniciativa de
Perio·Aid

Cerrar
Banner
Cerrar
Banner
Cerrar

Politica de Cookies

La configuración de Cookies se ha guardado/actualizado correctamente con las preferencias indicadas.

Cerrar

¿QUIERES SUSCRIBIRTE?  
Todas las novedades en Periodoncia
mensualmente en tu email.
  • *
  • *
  • *
  • *
  • Elige tu/s especialidad/es:

(*) Campos obligatorios