La plataforma profesional
sobre las enfermedades
periodontales y periimplantarias

Una iniciativa de
Perio·Aid
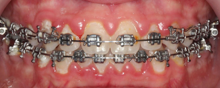
Inicio > Casos clínicos > Nueva Clasificación Workshop 2017 > Gingivitis asociada a placa en ortodoncia

Gingivitis asociada a placa en ortodoncia

Gingivitis asociada a placa en ortodoncia

Este proyecto de Casos Clínicos E.T.E.P. pretende, mediante una serie de ejemplos, explicar los aspectos más relevantes de la nueva clasificación y compararla con la clasificación precedente.

Se han presentado hasta el momento diferentes casos de periodontitis, desde situaciones moderadas y con poco riesgo (periodontitis estadio II, grado A; Profa. Paula Matesanz) hasta casos avanzados y de alto riesgo (periodontitis estadio IV, grado C; Prof. Ignacio Sanz Sánchez), pasando por situaciones intermedias (periodontitis estadio III, grado B; Profa. Margarita Iniesta).

Se han presentado, además, casos de “Otras condiciones que afectan al periodonto”, en concreto, un absceso periodontal (Prof. David Herrera) y una lesión endo-periodontal (Profa. Nerea Sánchez). 

Luego se introdujeron las patologías peri-implantarias, en concreto, la peri-implantitis (Prof. Eduardo Montero).

Y en las últimas entregas, se abordó el apartado de Salud Periodontal y Patologías y Condiciones Gingivales, con un caso de Gingivitis asociada a placa, en adultos (Dr. Javier Sanz), y otro Gingivitis asociada a placa, pero en un paciente con aparatología de ortodoncia fija (Dr. Javier Sanz). 

Para esta entrega, se presenta una patología a caballo entre “Otras condiciones que afectan al periodonto” y el apartado de periodontitis: en concreto, un caso de Periodontitis Necrosante, preparado por la Profa. Bettina Alonso.

Accede al documento (PDF/1,55M)

  • Armitage GC. (1999) Development of a classification system for periodontal diseases and conditions. Annals of Periodontology 4, 1-6.
  • Caton JG, Armitage GC, Berglundh T y cols. (2018) A new classification scheme for periodontal and periimplant diseases and conditions: Introduction and key changes from the 1999 classification. Journal of Clinical Periodontology 45, S1-S8.
  • Herrera D, Figuero E, Shapira L, Jin L, Sanz M. (2018) La nueva clasificación de las enfermedades periodontales y periimplantarias. Periodoncia Clínica 11.

Más información profesional:
DENTAID Expertise
DENTAID Profesional

Una iniciativa de
Perio·Aid

Cerrar
Banner
Cerrar
Banner
Cerrar

Politica de Cookies

La configuración de Cookies se ha guardado/actualizado correctamente con las preferencias indicadas.

Cerrar

¿QUIERES SUSCRIBIRTE?  
Todas las novedades en Periodoncia
mensualmente en tu email.
  • *
  • *
  • *
  • *
  • Elige tu/s especialidad/es:

(*) Campos obligatorios