La plataforma profesional
sobre las enfermedades
periodontales y periimplantarias

Una iniciativa de
Perio·Aid
Inicio > Casos clínicos > Mantenimiento Periodontal > Importancia del mantenimiento en la evolución de un paciente con periodontitis agresiva y periimplantitis

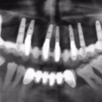
Importancia del mantenimiento en la evolución de un paciente con periodontitis agresiva y periimplantitis

Importancia del mantenimiento en la evolución de un paciente con periodontitis agresiva y periimplantitis

La periodontitis agresiva se define como una enfermedad de rápida progresión en la destrucción periodontal que se presenta de dos formas: local y general (Armitage 1999). Se ha observado que la prevalencia de esta enfermedad es mucho menor en comparación con la periodontitis crónica siendo en algunas poblaciones de hasta un 28’8% (Albandar JM 2002).

Ante la pérdida temprana de piezas dentales, la rehabilitación con implantes ha sido considerada una de la opciones terapéuticas de elección. Según ciertos autores, estos pacientes son mas susceptibles de padecer periimplantitis influyendo directamente sobre la supervivencia de los implantes dentales (De Boever AL 2009).

Accede al documento (PDF/1,07M)

Autores: Morera Cuenca M, Vázquez Pérez M, López Roldán A, Gil Loscos FJ, Buitrago Vera P, Alpiste Illueca F. Posgrado en Periodoncia y Osteointegración. Universidad de Valencia.

Más información profesional:
DENTAID Expertise
DENTAID Profesional

Una iniciativa de
Perio·Aid

Cerrar
Banner
Cerrar
Banner
Cerrar

Politica de Cookies

La configuración de Cookies se ha guardado/actualizado correctamente con las preferencias indicadas.

Cerrar

¿QUIERES SUSCRIBIRTE?  
Todas las novedades en Periodoncia
mensualmente en tu email.
  • *
  • *
  • *
  • *
  • Elige tu/s especialidad/es:

(*) Campos obligatorios