La plataforma profesional
sobre las enfermedades
periodontales y periimplantarias

Una iniciativa de
Perio·Aid
Inicio > Casos clínicos > Cirugía Periodontal y Periimplantaria > Injerto de tejido conectivo en el tratamiento de defectos mucosos asociados a implantes, a propósito de un caso

Injerto de tejido conectivo en el tratamiento de defectos mucosos asociados a implantes, a propósito de un caso

Injerto de tejido conectivo en el tratamiento de defectos mucosos asociados a implantes, a propósito de un caso

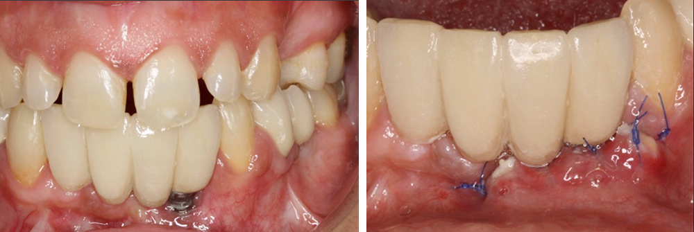
A continuación se presenta un caso clínico de un defecto mucogingival alrededor de un implante con un perfil de emergencia vestibular. Se resolvió de forma satisfactoria mediante la colocación de un injerto de tejido conectivo para aumentar el volumen horizontal de tejido blando y mejorar así la configuración de la mucosa periimplantaria.

Accede al documento (PDF/725,37K)

Autores: María del Carmen Vázquez Romero, Pedro José Alomar Velasco, Rafael Flores Ruiz, Daniel Torres Lagares, José Luis Gutiérrez Pérez. Master de Cirugía Bucal de la Universidad de Sevilla. Publicado en: Abril 2016

Más información profesional:
DENTAID Expertise
DENTAID Profesional

Una iniciativa de
Perio·Aid

Cerrar
Banner
Cerrar
Banner
Cerrar

Politica de Cookies

La configuración de Cookies se ha guardado/actualizado correctamente con las preferencias indicadas.

Cerrar

¿QUIERES SUSCRIBIRTE?  
Todas las novedades en Periodoncia
mensualmente en tu email.
  • *
  • *
  • *
  • *
  • Elige tu/s especialidad/es:

(*) Campos obligatorios