La plataforma profesional
sobre las enfermedades
periodontales y periimplantarias

Una iniciativa de
Perio·Aid
Inicio > Casos clínicos > Cirugía Periodontal y Periimplantaria > Injerto gingival libre alrededor de implantes dentales. A propósito de un caso clínico.

Injerto gingival libre alrededor de implantes dentales. A propósito de un caso clínico.

Injerto gingival libre alrededor de implantes dentales. A propósito de un caso clínico.

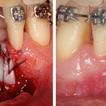
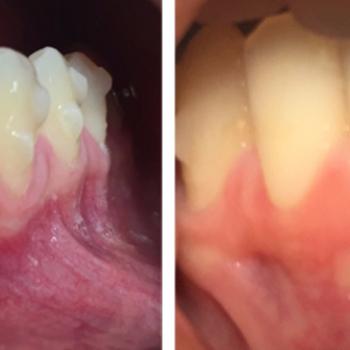
La cirugía mucogingival reconstructiva alrededor de implantes corrige los defectos de la morfología, posición y/o cantidad de encía queratinizada alrededor de los mismos. El documento que mostramos a continuación presenta el caso clínico de un paciente varón de 55 años de edad, exfumador de hace 2 años, con antecedentes de periodontitis crónica moderada generalizada y avanzada localizada tratada y, actualmente en fase de mantenimiento. El paciente no refería ningún antecedente médico de interés odontológico ni alergias conocidas.

El caso clínico es un buen ejemplo de cómo dotar de una buena cantidad de encía queratinizada unos implantes dentales con una emergencia en mucosa alveolar. De esta forma puede mejorarse la higiene periimplantaria diaria y disminuir así  las posibilidades de aparición de patología periimplantaria en un futuro.

Accede al documento (PDF/371,73K)

Autores: Blanca Paniagua Cotonat, Universitat Internacional de Catalunya, Facultad de Odontolgía, Departamento de Periodoncia Publicado en: Septiembre 2016

Más información profesional:
DENTAID Expertise
DENTAID Profesional

Una iniciativa de
Perio·Aid

Cerrar
Banner
Cerrar
Banner
Cerrar

Politica de Cookies

La configuración de Cookies se ha guardado/actualizado correctamente con las preferencias indicadas.

Cerrar

¿QUIERES SUSCRIBIRTE?  
Todas las novedades en Periodoncia
mensualmente en tu email.
  • *
  • *
  • *
  • *
  • Elige tu/s especialidad/es:

(*) Campos obligatorios