La plataforma profesional
sobre las enfermedades
periodontales y periimplantarias

Una iniciativa de
Perio·Aid
Inicio > Casos clínicos > Nueva Clasificación Workshop 2017 > Periodontitis Estadio III, Grado B

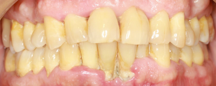
Periodontitis Estadio III, Grado B

Periodontitis Estadio III, Grado B

Este proyecto de Casos Clínicos E.T.E.P. pretende, mediante una serie de ejemplos, explicar los aspectos más relevantes de la nueva clasificación y compararla con la clasificación precedente.

En las primeras entregas, la Profa. Paula Matesanz y el Prof. Ignacio Sanz Sánchez presentaron casos de periodontitis, uno de ellos, más moderado y con menor riesgo de progresión (estadio II, grado A), y otro más avanzado y con mayor riesgo de progresión futura (estadio IV, grado C). En tercer lugar, se presentó un caso de “Otras condiciones que afectan al periodonto”, en concreto, un absceso periodontal. Posterior, se introdujeron las patologías peri-implantarias, en concreto, la peri-implantitis (Prof. Eduardo Montero). Y en la última entrega, se volvió a otra de las “Otras condiciones que afectan al periodonto”, las lesiones endo-periodontales (Profa. Nerea Sánchez).

Para la sexta entrega, proponemos un nuevo caso de periodontitis, con estadio III, grado B, localizada, preparado por la Profa. Margarita Iniesta.

Los próximos casos que aparecerán incluirán ejemplos de las siguientes patologías:

  • Gingivitis asociada a placa en adultos (Dr. Javier Sanz).

  • Gingivitis asociada a placa en ortodoncia (Dr. Javier Sanz).

  • Periodontitis necrosante (Profa. Bettina Alonso)

  • Periodontitis como manifestación de enfermedad sistémica (Profa. Mercedes López Durán)

  • Periodontitis estadio III, grado C (Dr. Jorge Serrano)

  • Salud peri-implantaria (Profa. Elena Figuero)

Accede al documento (PDF/2,03M)

  • Armitage GC. (1999) Development of a classification system for periodontal diseases and conditions. Annals of Periodontology 4, 1-6.
  • Caton JG, Armitage GC, Berglundh T y cols. (2018) A new classification scheme for periodontal and periimplant diseases and conditions: Introduction and key changes from the 1999 classification. Journal of Clinical Periodontology 45, S1-S8.
  • Herrera D, Figuero E, Shapira L, Jin L, Sanz M. (2018) La nueva clasificación de las enfermedades periodontales y periimplantarias. Periodoncia Clínica 11.

Más información profesional:
DENTAID Expertise
DENTAID Profesional

Una iniciativa de
Perio·Aid

Cerrar
Banner
Cerrar
Banner
Cerrar

Politica de Cookies

La configuración de Cookies se ha guardado/actualizado correctamente con las preferencias indicadas.

Cerrar

¿QUIERES SUSCRIBIRTE?  
Todas las novedades en Periodoncia
mensualmente en tu email.
  • *
  • *
  • *
  • *
  • Elige tu/s especialidad/es:

(*) Campos obligatorios