La plataforma profesional
sobre las enfermedades
periodontales y periimplantarias

Una iniciativa de
Perio·Aid
Inicio > Casos clínicos > Cirugía Periodontal Regenerativa > Regeneración de un defecto periodontal más allá del ápice de un molar inferior mediante el uso de hueso autólogo y membrana no reabsorbible de PTFE

Regeneración de un defecto periodontal más allá del ápice de un molar inferior mediante el uso de hueso autólogo y membrana no reabsorbible de PTFE

Regeneración de un defecto periodontal más allá del ápice de un molar inferior mediante el uso de hueso autólogo y membrana no reabsorbible de PTFE

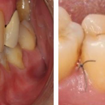
Os presentamos un nuevo caso clínico que nos llega desde el Departamento de Periodoncia de la Facultad de Odontología de la USC. Se trata de una espectacular regeneración periodontal de un defecto infraóseo más allá del ápice de un molar inferior mediante hueso autólogo y membrana no reabsorbible con seguimiento hasta los dos años. Como manifiestan sus autores, si se escoge muy bien el caso, la regeneración periodontal parece no tener límites.

 Existen muchas definiciones de regeneración periodontal pero al modo de ver de los autores, es la del Glosario de Términos Periodontales de 1992 (Glossary of Periodontal Terms, AAP) donde mejor se describe: “Reproducción o reconstitución de la parte perdida o lesionada de forma que la arquitectura y la función de los tejidos perdidos o lesionados quedan restauradas”. Es decir, para que exista verdadera regeneración periodontal se tienen que formar los tres tejidos que rodean al diente: cemento, hueso alveolar y ligamento periodontal.

Accede al documento (PDF/724,87K)

Autores: Germán Barbieri, Leticia Caneiro, Antonio Liñares, Pilar Batalla, Juan Blanco. Publicado en: Junio 2016

Más información profesional:
DENTAID Expertise
DENTAID Profesional

Una iniciativa de
Perio·Aid

Cerrar
Banner
Cerrar
Banner
Cerrar

Politica de Cookies

La configuración de Cookies se ha guardado/actualizado correctamente con las preferencias indicadas.

Cerrar

¿QUIERES SUSCRIBIRTE?  
Todas las novedades en Periodoncia
mensualmente en tu email.
  • *
  • *
  • *
  • *
  • Elige tu/s especialidad/es:

(*) Campos obligatorios