La plataforma profesional
sobre las enfermedades
periodontales y periimplantarias

Una iniciativa de
Perio·Aid
Inicio > Casos clínicos > Cirugía Periodontal y Periimplantaria > Tratamiento de Recesiones Gingivales Clase III de Miller mediante técnica de túnel

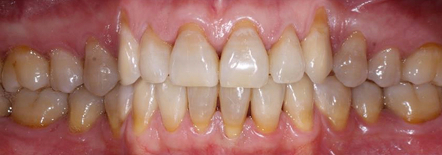
Tratamiento de Recesiones Gingivales Clase III de Miller mediante técnica de túnel

Tratamiento de Recesiones Gingivales Clase III de Miller mediante técnica de túnel

El caso clínico que presentamos a continuación es el de una paciente que acude a la consulta para solucionar la estética de su sonrisa. Se trata de un caso de recesiones múltiples en el sector antero-superior, siendo la situación más crítica a nivel de los caninos debido a la presencia de abfracción severa y falta de encía queratinizada. Se decidió realizar un tratamiento combinado mediante restauraciones de Clase V e injerto de tejido conectivo en túnel junto con movilización coronal del colgajo para cubrir las recesiones y ganar encía queratinizada.

Accede al documento (PDF/852,18K)

Autores: Meritxell Losada Martínez, Andrés Pascual La Rocca. Universidad Internacional Catalunya, Facultad de Odontología, Departamento de Periodoncia

Más información profesional:
DENTAID Expertise
DENTAID Profesional

Una iniciativa de
Perio·Aid

Cerrar
Banner
Cerrar
Banner
Cerrar

Politica de Cookies

La configuración de Cookies se ha guardado/actualizado correctamente con las preferencias indicadas.

Cerrar

¿QUIERES SUSCRIBIRTE?  
Todas las novedades en Periodoncia
mensualmente en tu email.
  • *
  • *
  • *
  • *
  • Elige tu/s especialidad/es:

(*) Campos obligatorios