La plataforma profesional
sobre las enfermedades
periodontales y periimplantarias

Una iniciativa de
Perio·Aid
Inicio > Casos clínicos > Tratamiento Periodontal > Tratamiento de un defecto intraóseo asociado a hipercementosis

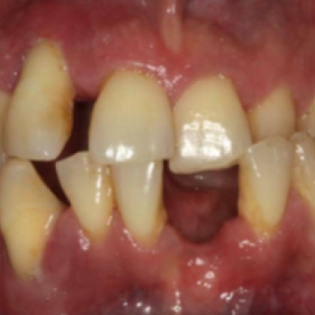
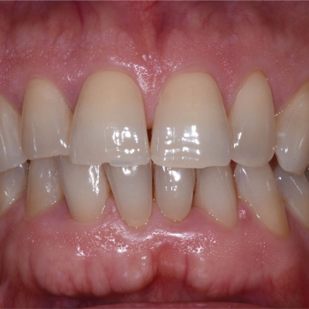
Tratamiento de un defecto intraóseo asociado a hipercementosis

Tratamiento de un defecto intraóseo asociado a hipercementosis

Perio·Next es un concurso para una nueva generación de odontólogos, tanto estudiantes como jóvenes profesionales, en el que pueden demostrar sus conocimientos sobre periodoncia, implantología o cirugía bucal a través de la presentación de un caso clínico.

Estos casos clínicos han sido valorados y seleccionados por un comité de profesionales con una dilatada experiencia en el campo de la odontología y la investigación científica.

Con este concurso, Perio·Expertise apoya de nuevo el desarrollo profesional de jóvenes odontólogos. Además contribuye a la generación de conocimiento entre el mundo científico. Con ese objetivo ponemos a tu disposición los casos clínicos finalistas de la última edición de Perio·Next.

A continuación podrás consultar el ganador del segundo premio de los casos finalistas titulado “Tratamiento de un defecto intraóseo asociado a hipercementosis”

Accede al documento (PDF/11,36M)

Más información profesional:
DENTAID Expertise
DENTAID Profesional

Una iniciativa de
Perio·Aid

Cerrar
Banner
Cerrar
Banner
Cerrar

Politica de Cookies

La configuración de Cookies se ha guardado/actualizado correctamente con las preferencias indicadas.

Cerrar

¿QUIERES SUSCRIBIRTE?  
Todas las novedades en Periodoncia
mensualmente en tu email.
  • *
  • *
  • *
  • *
  • Elige tu/s especialidad/es:

(*) Campos obligatorios