La plataforma profesional
sobre las enfermedades
periodontales y periimplantarias

Una iniciativa de
Perio·Aid
Inicio > Casos clínicos > Tratamiento Periimplantario > Tratamiento de un paciente con periimplantitis

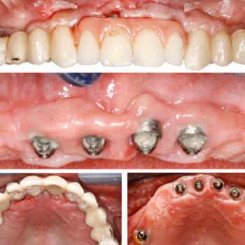
Tratamiento de un paciente con periimplantitis

Tratamiento de un paciente con periimplantitis

Presentamos un caso clínico sobre el tratamiento de un paciente con periimplantitis, elaborado por los doctores Estefanía Laguna, Eduardo Montero y David Herrera de la Facultad de Odontología de la Universidad Complutense de Madrid.

En dicho caso se habla de una paciente de 62 años que acude a la clínica dental por presentar una inflamación gingival acompañada de sangrado y supuración en implante en posición de 46. Para su tratamiento se realizó una exploración intraoral, una exploración periodontal, un examen radiográfico y un diagnóstico microbiológico.

En el siguiente documento se encuentra el diagnóstico y el plan de tratamiento realizados, así también como la posterior reevaluación de la paciente y los resultados obtenidos tras tratamientos no quirúrgicos y quirúrgicos.

Accede al documento (PDF/1,67M)

Autores: Estefanía Laguna, Eduardo Montero, David Herrera. Posgrado en Periodoncia, Facultad de Odontología. Universidad Complutense de Madrid.

Más información profesional:
DENTAID Expertise
DENTAID Profesional

Una iniciativa de
Perio·Aid

Cerrar
Banner
Cerrar
Banner
Cerrar

Politica de Cookies

La configuración de Cookies se ha guardado/actualizado correctamente con las preferencias indicadas.

Cerrar

¿QUIERES SUSCRIBIRTE?  
Todas las novedades en Periodoncia
mensualmente en tu email.
  • *
  • *
  • *
  • *
  • Elige tu/s especialidad/es:

(*) Campos obligatorios