La plataforma profesional
sobre las enfermedades
periodontales y periimplantarias

Una iniciativa de
Perio·Aid
Mostando Casos Clínicos sobre "Cirugía Periodontal Regenerativa" y "Perio·Next" (15)
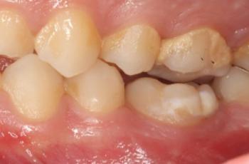
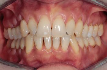
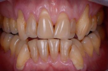
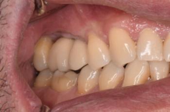
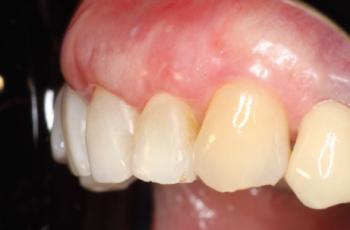
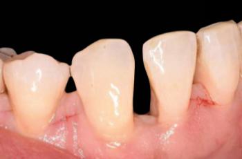
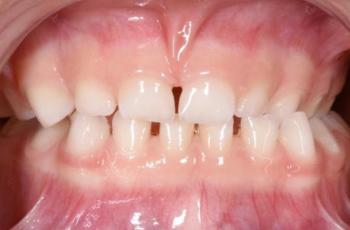
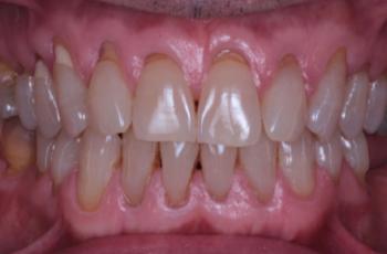
Fibroma oral irritativo con migración patológica de un diente temporal:... Perio·Next Fibroma oral irritativo con migración patológica de un diente temporal:... Perio·Next es un concurso para una nueva generación de odontólogos, tanto estudiantes... Protocolo de tratamiento no quirúrgico de la periimplantitis Perio·Next Protocolo de tratamiento no quirúrgico de la periimplantitis Perio·Next es un concurso para una nueva generación de odontólogos, tanto estudiantes... Aplicación clínica de la tecnología digital 3D para el Autotrasplante... Perio·Next Aplicación clínica de la tecnología digital 3D para el Autotrasplante... Perio·Next es un concurso para una nueva generación de odontólogos, tanto estudiantes... Tratamiento de periodontitis estadio III grado C y de condiciones... Perio·Next Tratamiento de periodontitis estadio III grado C y de condiciones... Perio·Next es un concurso para una nueva generación de odontólogos, tanto estudiantes... Tratamiento periodontal completo de un paciente con periodontitis estadio... Perio·Next Tratamiento periodontal completo de un paciente con periodontitis estadio... Perio·Next es un concurso para una nueva generación de odontólogos, tanto estudiantes... Regeneración periodontal con solo EMD (primer premio) Perio·Next Regeneración periodontal con solo EMD (primer premio) Perio·Next es un concurso para una nueva generación de odontólogos, tanto estudiantes... Recesiones múltiples en el maxilar superior en combinación con lesiones... Perio·Next Recesiones múltiples en el maxilar superior en combinación con lesiones... Perio·Next es un concurso para una nueva generación de odontólogos, tanto estudiantes... Regeneración ósea tridimensional usando la técnica Khoury Perio·Next Regeneración ósea tridimensional usando la técnica Khoury Perio·Next es un concurso para una nueva generación de odontólogos, tanto estudiantes... Estética gingival. Reconstrucción lesión cervical no cariosa previo a... Perio·Next Estética gingival. Reconstrucción lesión cervical no cariosa previo a... Perio·Next es un concurso para una nueva generación de odontólogos, tanto estudiantes...
1 2

Más información profesional:
DENTAID Expertise
DENTAID Profesional

Una iniciativa de
Perio·Aid

Cerrar
Banner
Cerrar
Banner
Cerrar

Politica de Cookies

La configuración de Cookies se ha guardado/actualizado correctamente con las preferencias indicadas.

Cerrar

¿QUIERES SUSCRIBIRTE?  
Todas las novedades en Periodoncia
mensualmente en tu email.
  • *
  • *
  • *
  • *
  • Elige tu/s especialidad/es:

(*) Campos obligatorios