La plataforma profesional
sobre las enfermedades
periodontales y periimplantarias

Una iniciativa de
Perio·Aid
Mostando todos los Casos Clínicos (63)
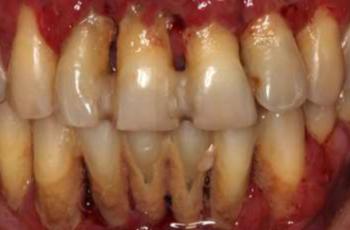
Cubrimiento de recesiones gingivales sobre implantes adyacentes tras... Perio·Next Cubrimiento de recesiones gingivales sobre implantes adyacentes tras... Perio·Next es un concurso para una nueva generación de odontólogos, tanto estudiantes... Túnel en asociación con injerto de tejido conectivo autólogo Perio·Next Túnel en asociación con injerto de tejido conectivo autólogo Perio·Next es un concurso para una nueva generación de odontólogos, tanto estudiantes... Manifestación oral de Histiocitosis de Células de Langerhans Perio·Next Manifestación oral de Histiocitosis de Células de Langerhans Perio·Next es un concurso para una nueva generación de odontólogos, tanto estudiantes... Odontología multidisciplinar Perio·Next Odontología multidisciplinar Perio·Next es un concurso para una nueva generación de odontólogos, tanto estudiantes... Extrusión quirúrgica Perio·Next Extrusión quirúrgica   Perio·Next es un concurso para una nueva generación de odontólogos,... Salud Periimplantaria Nueva Clasificación Workshop 2017 | UCM Salud Periimplantaria Este proyecto de Casos Clínicos E.T.E.P. pretende, mediante una serie de ejemplos, explicar los... Periodontitis Estadio III Grado C Nueva Clasificación Workshop 2017 | UCM Periodontitis Estadio III Grado C Este proyecto de Casos Clínicos E.T.E.P. pretende, mediante una serie de ejemplos, explicar los... Periodontitis Como Manifestación de Enfermedades Sistémicas Nueva Clasificación Workshop 2017 | UCM Periodontitis Como Manifestación de Enfermedades Sistémicas Este proyecto de Casos Clínicos E.T.E.P. pretende, mediante una serie de ejemplos, explicar los... Periodontitis necrosante Nueva Clasificación Workshop 2017 | UCM Periodontitis necrosante Este proyecto de Casos Clínicos E.T.E.P. pretende, mediante una serie de ejemplos, explicar los...
1 2 3 4 5 6 7

Más información profesional:
DENTAID Expertise
DENTAID Profesional

Una iniciativa de
Perio·Aid

Cerrar
Banner
Cerrar
Banner
Cerrar

Politica de Cookies

La configuración de Cookies se ha guardado/actualizado correctamente con las preferencias indicadas.

Cerrar

¿QUIERES SUSCRIBIRTE?  
Todas las novedades en Periodoncia
mensualmente en tu email.
  • *
  • *
  • *
  • *
  • Elige tu/s especialidad/es:

(*) Campos obligatorios