La plataforma profesional
sobre las enfermedades
periodontales y periimplantarias

Una iniciativa de
Perio·Aid
Inicio > Tratamiento de un diente uniradicular afectado por una lesión endo-periodontal combinada que se extiende más allá del ápice

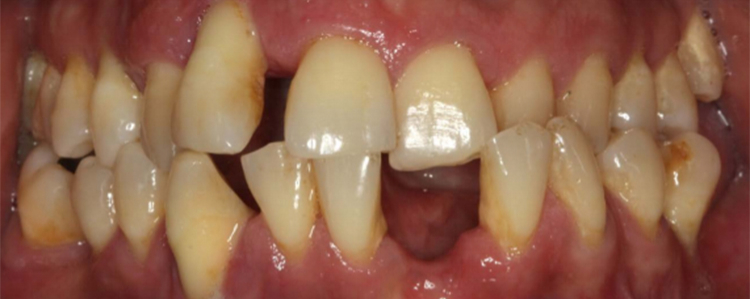
Tratamiento de un diente uniradicular afectado por una lesión endo-periodontal combinada que se extiende más allá del ápice

Tratamiento de un diente uniradicular afectado por una lesión endo-periodontal combinada que se extiende más allá del ápice

Con frecuencia nos encontramos ante la cuestión de tratar de conservar un diente con pronóstico cuestionable o extraerlo y sustituirlo por un implante u otro tipo de restauración protésica. Sin embargo, no es un tratamiento exento de complicaciones. La elevada prevalencia de complicaciones biológicas, como la mucositis o peri-implantitis, con afectación del 48% de los pacientes y un 33% de los implantes en el caso de la mucositis y de un 26% de los pacientes y un 16% de los implantes según estudios recientes (Daubert y cols. 2015), han puesto de manifiesto la importancia de tratar de mantener los dientes y retrasar la colocación de implantes dentales.

Se han desarrollado diferentes clasificaciones de pronóstico en un intento por facilitar al clínico la toma de decisiones. En estas, el pronóstico cuestionable se le asigna a dientes que con un tratamiento avanzado podrían ser mantenidos mientras que el pronóstico malo o “sin esperanza” normalmente indica que el diente debe ser extraído por la incapacidad de controlar la enfermedad y mejorar el pronóstico (McFall y cols. 1982, Hirschfeld y Wasserman 1978, Kwok y Caton 2007).

Durante la última década, la endodoncia se ha beneficiado de mejoras en técnicas y equipos tales como instrumentos rotatorios de NiTi, localizadores de ápice electrónicos, magnificación microscópica (Manning 2000, John y cols. 2007) lo que ha repercutido en el aumento de la tasa de éxito (Ng y cols. 2007).

La combinación de estas mejoras endodóncicas con la aplicación de nuevos biomateriales y técnicas quirúrgicas cada vez menos invasivas, ha permitido avanzar en el campo de la regeneración periodontal obteniendo resultados cada vez mejores y más predecibles (Cortellini y cols. 1995, 1999, 2007,2011), incluso en aquellos casos donde la situación del diente es claramente desfavorable.

Presentamos en este caso clínico el tratamiento mediante proteínas derivadas de la matriz del esmalte (Emdogain) y un xenoinjerto de origen bovino (Bio-oss) de un diente uniradicular afectado por una lesión endo-periodontal combinada.

Accede al documento.

caso clínico caso clínico periimplantitis caso clínico periodoncia caso clínico periodontitis endodoncia Periodoncia tratamiento periodontal tratamiento periodontitis

Más información profesional:
DENTAID Expertise
DENTAID Profesional

Una iniciativa de
Perio·Aid

Cerrar
Banner
Cerrar
Banner
Cerrar

Politica de Cookies

La configuración de Cookies se ha guardado/actualizado correctamente con las preferencias indicadas.

Cerrar

¿QUIERES SUSCRIBIRTE?  
Todas las novedades en Periodoncia
mensualmente en tu email.
  • *
  • *
  • *
  • *
  • Elige tu/s especialidad/es:

(*) Campos obligatorios