Nueva Clasificación Workshop 2017 | UCM
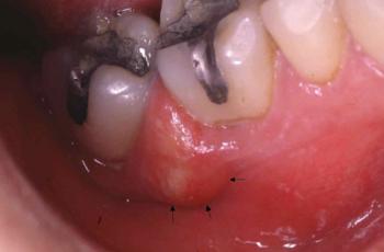
Absceso periodontal
Casos Clínicos E.T.E.P. – Nueva Clasificación
Este proyecto de Casos Clínicos...
Nueva Clasificación Workshop 2017 | UCM
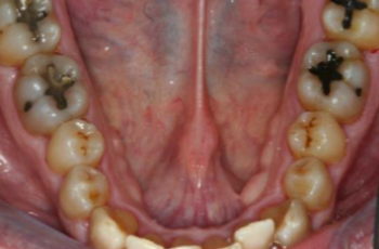
Periodontitis, estadio IV, grado C
Casos Clínicos E.T.E.P. – Nueva Clasificación
Este proyecto de Casos Clínicos...
Nueva Clasificación Workshop 2017 | UCM
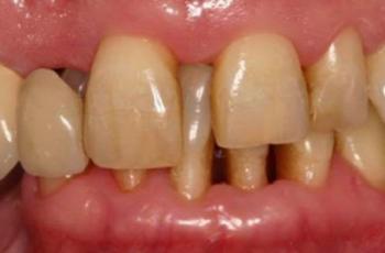
Periodontitis, estadio II, grado A
Cátedra Extraordinaria DENTAID en Investigación Periodontal
La Cátedra Extraordinaria...