La plataforma profesional
sobre las enfermedades
periodontales y periimplantarias

Una iniciativa de
Perio·Aid
Mostando Casos Clínicos sobre "Nueva Clasificación Workshop 2017" y "Tratamiento Periodontal" y "Mantenimiento Periodontal" y "Tratamiento Periimplantario" y "Perio·Next"de las"Universidad Complutense de Madrid" y "Universitat Internacional Catalunya" y "Universidad Santiago de Compostela" (20)
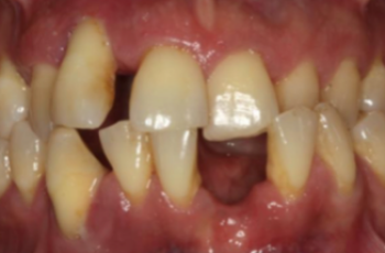
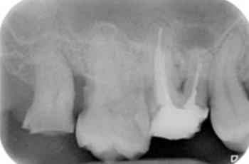
Absceso periodontal Nueva Clasificación Workshop 2017 | UCM Absceso periodontal Casos Clínicos E.T.E.P. – Nueva Clasificación Este proyecto de Casos Clínicos... Periodontitis, estadio IV, grado C Nueva Clasificación Workshop 2017 | UCM Periodontitis, estadio IV, grado C Casos Clínicos E.T.E.P. – Nueva Clasificación Este proyecto de Casos Clínicos... Periodontitis, estadio II, grado A Nueva Clasificación Workshop 2017 | UCM Periodontitis, estadio II, grado A Cátedra Extraordinaria DENTAID en Investigación Periodontal La Cátedra Extraordinaria... Tratamiento de un diente uniradicular afectado por una lesión... Tto. Periodontal | USC Tratamiento de un diente uniradicular afectado por una lesión... Con frecuencia nos encontramos ante la cuestión de tratar de conservar un diente con pronóstico cuestionable o... Tratamiento de un paciente con periimplantitis Tto. Periimplantario | UCM Tratamiento de un paciente con periimplantitis Presentamos un caso clínico sobre el tratamiento de un paciente con periimplantitis, elaborado... Tratamiento de un paciente con periodontitis crónica I Tto. Periodontal | UCM Tratamiento de un paciente con periodontitis crónica I Presentamos un caso clínico, elaborado por los Doctores Eduardo Montero y David Herrera de la... Efectividad del Tratamiento en Periodontitis Agresiva Tto. Periodontal | UIC Efectividad del Tratamiento en Periodontitis Agresiva El mantenimiento de la dentición natural en estado de salud ha sido un objetivo importante en... Lesión endo-periodontal combinada verdadera en raíz mesiovestibular de... Tto. Periodontal | USC Lesión endo-periodontal combinada verdadera en raíz mesiovestibular de... Presentamos un caso clínico sobre un paciente que acude a la clínica dental por molestias generalizadas.... Tratamiento multidisciplinar de un paciente con Periodontitis avanzada... Tto. Periodontal | USC Tratamiento multidisciplinar de un paciente con Periodontitis avanzada... Las enfermedades periodontales tienen una elevada prevalencia en la población adulta en España....
1 2 3

Más información profesional:
DENTAID Expertise
DENTAID Profesional

Una iniciativa de
Perio·Aid

Cerrar
Banner
Cerrar
Banner
Cerrar

Politica de Cookies

La configuración de Cookies se ha guardado/actualizado correctamente con las preferencias indicadas.

Cerrar

¿QUIERES SUSCRIBIRTE?  
Todas las novedades en Periodoncia
mensualmente en tu email.
  • *
  • *
  • *
  • *
  • Elige tu/s especialidad/es:

(*) Campos obligatorios