La plataforma profesional
sobre las enfermedades
periodontales y periimplantarias

Una iniciativa de
Perio·Aid
Mostando Casos Clínicosde las"Universitat Internacional Catalunya" y "Universidad de Valencia" (8)
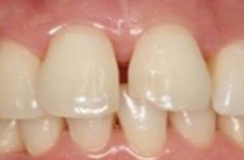
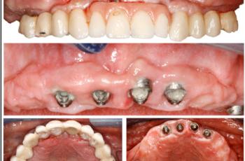
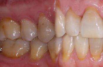
Tratamiento no quirúrgico de la periimplantitis. A propósito de un caso... Cirugía periodontal y periimplantaria | UIC Tratamiento no quirúrgico de la periimplantitis. A propósito de un caso... Se presenta el caso de una paciente de 58 años de edad, sin antecedentes médicos de interés y no fumadora. El motivo... Etiología, diagnóstico y tratamiento de la periimplantitis: Caso... Tto. Periimplantario | UV Etiología, diagnóstico y tratamiento de la periimplantitis: Caso... Presentamos nuevo caso clínico realizado por los doctores Manuel Rodríguez Aranda, Francisco... Efectividad del Tratamiento en Periodontitis Agresiva Tto. Periodontal | UIC Efectividad del Tratamiento en Periodontitis Agresiva El mantenimiento de la dentición natural en estado de salud ha sido un objetivo importante en... Injerto gingival libre alrededor de implantes dentales. A propósito de un... Cirugía periodontal y periimplantaria | UIC Injerto gingival libre alrededor de implantes dentales. A propósito de un... La cirugía mucogingival reconstructiva alrededor de implantes corrige los defectos de la... Terapia mucogingival en implantes: corrección de las secuelas mucosas de... Cirugía periodontal y periimplantaria | UV Terapia mucogingival en implantes: corrección de las secuelas mucosas de... El caso que se presenta a continuación muestra una resolución impecable de un defecto mucogingival... Importancia del mantenimiento en la evolución de un paciente con... Mantenimiento | UV Importancia del mantenimiento en la evolución de un paciente con... La periodontitis agresiva se define como una enfermedad de rápida progresión en la destrucción... Tratamiento de Recesiones Gingivales Clase III de Miller mediante técnica... Cirugía periodontal y periimplantaria | UIC Tratamiento de Recesiones Gingivales Clase III de Miller mediante técnica... El caso clínico que presentamos a continuación es el de una paciente que acude a la consulta... Tratamiento de un paciente con periodontitis crónica moderada generalizada Tto. Periodontal | UIC Tratamiento de un paciente con periodontitis crónica moderada generalizada El caso clínico que se presenta a continuación, muestra el tratamiento de una paciente...

Más información profesional:
DENTAID Expertise
DENTAID Profesional

Una iniciativa de
Perio·Aid

Cerrar
Banner
Cerrar
Banner
Cerrar

Politica de Cookies

La configuración de Cookies se ha guardado/actualizado correctamente con las preferencias indicadas.

Cerrar

¿QUIERES SUSCRIBIRTE?  
Todas las novedades en Periodoncia
mensualmente en tu email.
  • *
  • *
  • *
  • *
  • Elige tu/s especialidad/es:

(*) Campos obligatorios