La plataforma profesional
sobre las enfermedades
periodontales y periimplantarias

Una iniciativa de
Perio·Aid
Mostando Casos Clínicos sobre "Cirugía Periodontal y Periimplantaria" y "Cirugía Periodontal Regenerativa" (9)
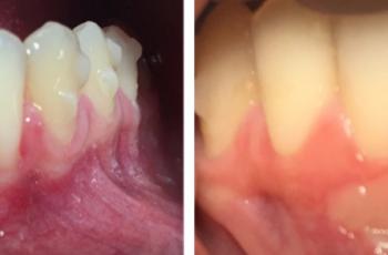
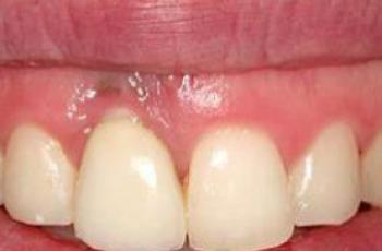
Tratamiento no quirúrgico de la periimplantitis. A propósito de un caso... Cirugía periodontal y periimplantaria | UIC Tratamiento no quirúrgico de la periimplantitis. A propósito de un caso... Se presenta el caso de una paciente de 58 años de edad, sin antecedentes médicos de interés y no fumadora. El motivo... Injerto de tejido conectivo para cubrimiento radicular en 4º cuadrante Cirugía periodontal y periimplantaria Injerto de tejido conectivo para cubrimiento radicular en 4º cuadrante Una de las indicaciones de la cirugía mucogingival es el cubrimiento radicular en casos de hipersensibilidad... Injerto gingival libre alrededor de implantes dentales. A propósito de un... Cirugía periodontal y periimplantaria | UIC Injerto gingival libre alrededor de implantes dentales. A propósito de un... La cirugía mucogingival reconstructiva alrededor de implantes corrige los defectos de la... Injerto Gingival Libre. A propósito de un caso. Cirugía periodontal y periimplantaria Injerto Gingival Libre. A propósito de un caso. Uno de los objetivos de la cirugía mucogingival reconstructiva es corregir los defectos de la... Regeneración de un defecto periodontal más allá del ápice de un molar... Cirugía Periodontal Regenerativa | USC Regeneración de un defecto periodontal más allá del ápice de un molar... Os presentamos un nuevo caso clínico que nos llega desde el Departamento de Periodoncia de... Injerto de tejido conectivo en el tratamiento de defectos mucosos... Cirugía periodontal y periimplantaria | US Injerto de tejido conectivo en el tratamiento de defectos mucosos... A continuación se presenta un caso clínico de un defecto mucogingival alrededor de un implante... Tratamiento mucogingival en una fenestración en zona estética Cirugía periodontal y periimplantaria Tratamiento mucogingival en una fenestración en zona estética La colocación de implantes se ha convertido en un acto rutinario en las clínicas dentales... Terapia mucogingival en implantes: corrección de las secuelas mucosas de... Cirugía periodontal y periimplantaria | UV Terapia mucogingival en implantes: corrección de las secuelas mucosas de... El caso que se presenta a continuación muestra una resolución impecable de un defecto mucogingival... Tratamiento de Recesiones Gingivales Clase III de Miller mediante técnica... Cirugía periodontal y periimplantaria | UIC Tratamiento de Recesiones Gingivales Clase III de Miller mediante técnica... El caso clínico que presentamos a continuación es el de una paciente que acude a la consulta...

Más información profesional:
DENTAID Expertise
DENTAID Profesional

Una iniciativa de
Perio·Aid

Cerrar
Banner
Cerrar
Banner
Cerrar

Politica de Cookies

La configuración de Cookies se ha guardado/actualizado correctamente con las preferencias indicadas.

Cerrar

¿QUIERES SUSCRIBIRTE?  
Todas las novedades en Periodoncia
mensualmente en tu email.
  • *
  • *
  • *
  • *
  • Elige tu/s especialidad/es:

(*) Campos obligatorios