Nueva Clasificación Workshop 2017 | UCM
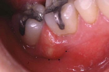
Absceso periodontal
Casos Clínicos E.T.E.P. – Nueva Clasificación
Este proyecto de Casos Clínicos...
Nueva Clasificación Workshop 2017 | UCM
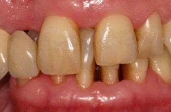
Periodontitis, estadio IV, grado C
Casos Clínicos E.T.E.P. – Nueva Clasificación
Este proyecto de Casos Clínicos...
Nueva Clasificación Workshop 2017 | UCM
Periodontitis, estadio II, grado A
Cátedra Extraordinaria DENTAID en Investigación Periodontal
La Cátedra Extraordinaria...
Tto. Periimplantario | UCM
Tratamiento de un paciente con periimplantitis
Presentamos un caso clínico sobre el tratamiento de un paciente con periimplantitis, elaborado...
Tto. Periodontal | UCM
Tratamiento de un paciente con periodontitis crónica I
Presentamos un caso clínico, elaborado por los Doctores Eduardo Montero y David Herrera de la...
Cirugía periodontal y periimplantaria | US
Injerto de tejido conectivo en el tratamiento de defectos mucosos...
A continuación se presenta un caso clínico de un defecto mucogingival alrededor de un implante...
Tto. Periodontal | UCM
Tratamiento de un paciente con periodontitis crónica II
Presentamos un nuevo caso clínico, de un paciente con periodontitis crónica, elaborado...